装着中の注意点
アタッチメントを装着することで、日常生活にいくつかの変化がある場合があります。
口腔ケアの徹底
アタッチメントの周囲に汚れがたまりやすいため、歯磨きを丁寧に行うことが重要です。
Invisalign
歯列矯正治療において重要な役割を果たす「アタッチメント」。透明なマウスピース矯正(インビザラインなど)を使用している患者様にとって、治療成功の鍵ともいえるこの小さな工夫について、詳しくご説明します。

アタッチメントは、歯の表面に装着する小さな樹脂製の突起物で、むし歯治療でもよく使うコンポジットレジンというプラスチックを使用します。通常は歯と同じような色をしており、ブラケット矯正装置に比べると目立ちにくいものです。アタッチメントの役割は下記のようなものがあります。
マウスピース矯正は、透明で取り外しが可能な装置を使う治療法です。しかし、歯を効率よく移動させるためには、装置が歯に確実にフィットし、必要な力を伝える必要があります。アタッチメントはこのフィット感を高め、装置が歯を効果的に動かせるようサポートします。

回転や垂直方向の移動など、特殊な力を必要とする歯の動きを補助します。アタッチメントがあることで、マウスピース単体では難しい動きも実現できます。
効率的な矯正力を実現することで、全体の治療期間を短縮する可能性があります。
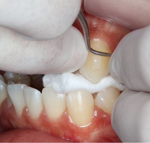
アタッチメントの装着は、比較的簡単な手順で行われます。
歯の表面をきれいにすることで、アタッチメントがしっかりと接着するよう準備します。

特殊なテンプレートを用いて、コンポジットレジンを歯の表面に付けます。

コンポジットレジンを硬化させます。
マウスピースがフィットするように不要な部分を取り除きます。
追加アライナー(修正のステップ)や治療が終了するタイミングで、アタッチメントを撤去します。
この際、歯の表面を傷つけることはありませんので、ご安心ください。
アタッチメントを装着することで、日常生活にいくつかの変化がある場合があります。
アタッチメントの周囲に汚れがたまりやすいため、歯磨きを丁寧に行うことが重要です。
アタッチメントは、マウスピース矯正の治療効果を最大化するために欠かせない重要な要素です。当院では、患者様一人ひとりの歯並びや治療計画に合わせて、最適なアタッチメントの配置を提案しています。治療中の疑問や不安があれば、いつでもお気軽にご相談ください。
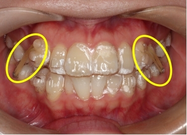
IPR(Interproximal Reduction)は、歯科矯正治療において顎の大きさと歯のサイズの不調和を修正するために、スペースを確保する技術です。マウスピース矯正(インビザライン)治療だけでなく、ワイヤー(マルチブラケット)治療でも行われます。日本人はデコボコ(乱杭歯)の方が多く、その多くはスペース不足によって起こります。歯を抜く以外のスペース確保の方法の1つとして、欠かせない治療法の一つです。ここでは、IPRの目的や方法、安全性について詳しくご紹介します。
IPRは歯と歯の間をわずかに削ることでスペースを作り、以下のような矯正治療の課題を解決します
歯が密集している場合、歯を動かすためのスペースが不足しています。IPRにより適切なスペースを確保し、スムーズな矯正治療を可能にします。

大きすぎる歯や不均一な形状の歯を調整することで、歯並びが整いやすくなります。
適切なスペースを作ることで、上下の歯の噛み合わせが改善され、より機能的で美しい歯並びを実現します。
人の歯の幅は左右で異なります。それをIPRで整えることで正中線(歯の真ん中の線)を顔の中心に合わせる事が可能です。
IPRは非常に繊細な治療で、元に戻すこともできない(不可逆処置)ため慎重に進める必要があります。
矯正治療のシミュレーションを行い、IPRが必要な部位と削る量を正確に計画します。1回に削る量は通常、0.2mm〜0.5mmと非常にわずかです。局所麻酔は必要ありません。

特殊な器具(ダイヤモンドストリップや専用のバー)を使用して、歯の表面を削ります。歯の表面エナメル質をわずかに削るため、痛みを感じることはありません。
施術後のスペースを確認し、歯の形状を整えます。当院では仕上げの研磨に非常に細かい目のものを使用しますので、施術後のザラツキを感じる事はありません。虫歯予防の為にも研磨の過程は非常に重要です。
IPRは歯のエナメル質を削るため、不安を感じる患者さまもいらっしゃいます。しかし、以下のポイントにより、安全性が確保されています
削る量はごくわずかで、歯の健康に影響を与えません。
専用の器具を用いるため、精密で正確な処置が可能です。
当院では矯正治療の専門医が丁寧に処置を行いますので、安心してお任せください。
IPRは治療の進行に応じて複数回に分けて行われることが一般的です。例えば、最初にスペースが必要な場合や歯の移動が進む中で新たにスペースを確保する必要がある場合に実施されます。
IPR後は繊維質な食べ物が引っかかりやすくなります。たとえば、えのきや水菜、エビタコなどの海鮮類です。
デンタルフロスを用いて、清潔に保ちましょう。

IPRは、矯正治療を成功に導くための重要な技術です。歯を削ると聞くと不安になる方もいらっしゃるかもしれませんが、IPRで痛みがでることはほとんどありませんし、歯の健康を損なうことなくスペースを確保できる安全な方法です。当院では、患者様一人ひとりの歯並びに合わせて最適な治療計画をご提案しています。気になる点があれば、ぜひお気軽にご相談ください。
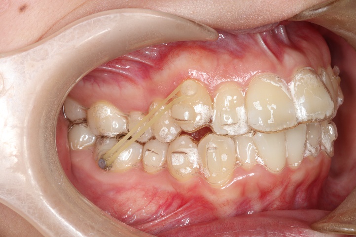
顎間ゴム(エラスティック)は、歯列矯正治療において重要な役割を果たす補助的な装置です。特に上下の歯列の噛み合わせを調整する際に用いられ、治療の成功に欠かせないアイテムです。

顎間ゴムは、歯科矯正治療の中で以下のような目的で使用されます
上下の歯列の位置関係を調整し、正しい噛み合わせ(咬合)を形成します。これにより、見た目だけでなく、食事や会話など機能面の改善も期待できます。
上下の顎の位置を適切に誘導し、全体のフェイシャルバランスを整えます。
主に前後方向や垂直方向の力を加えることで、歯列を効率よく整えます。
顎間ゴムは患者様ご自身で簡単に取り付けることができます。

歯科医師から指定されたサイズと種類のゴムを用意します。ゴムにはさまざまな強度やサイズがあり、治療計画に基づいて選ばれます。
歯の表面につけたボタンやアライナーの切れ込みにゴムをかけます。上下の歯にまたがるように装着するのが特徴です。
ゴムを引っ張る方向は治療の目的によって異なります。歯科医師から指示された通りの位置と方向に装着してください。

顎間ゴムの効果を最大化するためには、指示された装着時間(通常は1日22時間以上)を守ることが重要です。
顎間ゴムを効果的に活用するためのポイントです。
ゴムは時間とともに伸びたり劣化したりするため、1日1回の交換が必要です。
ゴムを装着していない時間が長いと、治療効果が落ちてしまいます。食事や歯磨きの後は忘れずに再装着してください。
顎間ゴムは、矯正治療をスムーズに進めるために重要な役割を果たす装置です。患者様自身での装着が必要なため、最初は慣れるまで大変かもしれませんが、治療の最終的な成果に大きく貢献します。当院では、顎間ゴムの使用方法やケア方法について丁寧に指導しております。疑問や不安があれば、ぜひお気軽にご相談ください。