部分矯正とは
歯列矯正には全体矯正と部分矯正があります。部分矯正というのは上下顎の第一小臼歯間の歯のみに矯正力をかけ、歯並びを整える治療をいいます。
適応症が決まっており、それは以下の2点になっております。
- 臼歯の咬合に問題がない
- 前歯だけを並べるだけのスペースを作れる
こういった場合、部分矯正で治療が可能な場合もあり、治療期間や治療費用が半分程度で治療を終えることが可能です。
もちろん、マウスピース矯正装置インビザラインでも部分矯正のオプションはあります。(ライトパッケージ)
Partial Orthodontics
歯列矯正には全体矯正と部分矯正があります。部分矯正というのは上下顎の第一小臼歯間の歯のみに矯正力をかけ、歯並びを整える治療をいいます。
適応症が決まっており、それは以下の2点になっております。
こういった場合、部分矯正で治療が可能な場合もあり、治療期間や治療費用が半分程度で治療を終えることが可能です。
もちろん、マウスピース矯正装置インビザラインでも部分矯正のオプションはあります。(ライトパッケージ)
部分矯正のメリットは
部分矯正のデメリットは
となります。
当院では、数多くの治療経験から、インビザラインによる部分矯正で治療が可能かを無料初診相談時にお応えすることが可能です。また部分矯正で適応症とならなかった場合でも、インビザラインによる全体矯正での治療相談も同時に行うことが可能です。ですので、部分矯正ではどこまで治療が可能なのか、全体矯正との比較など、多様な患者さんのニーズに合わせた相談が可能となっております。
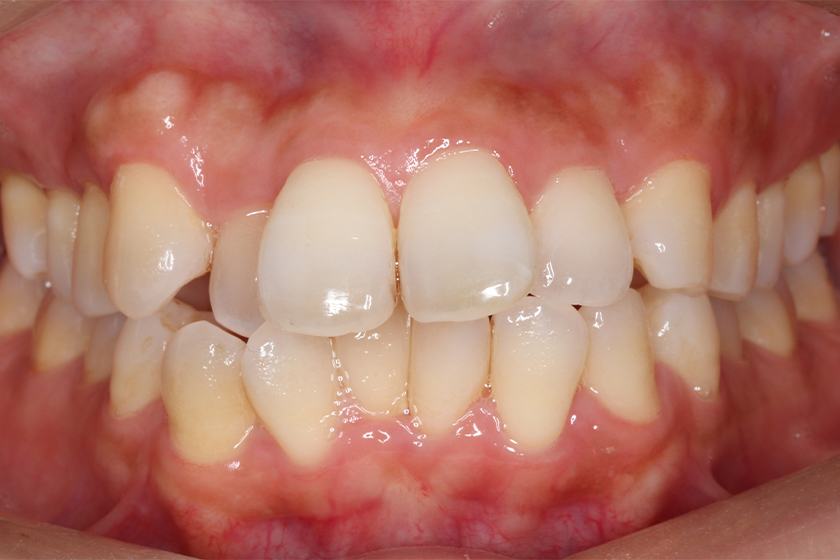
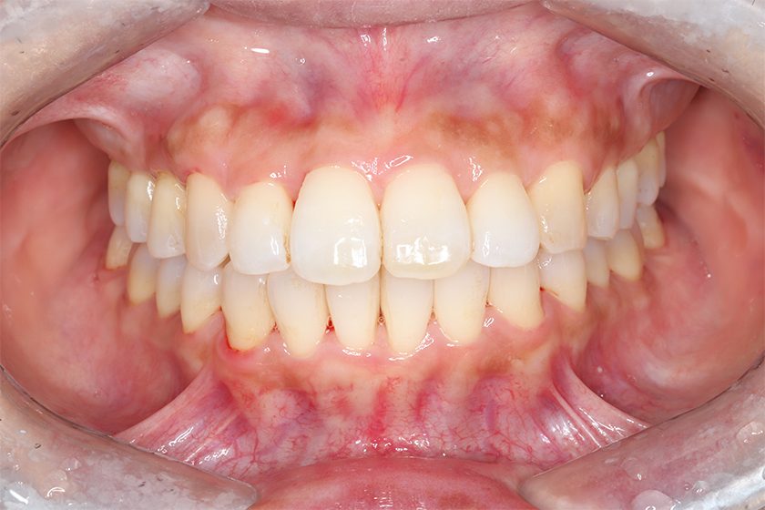
30代後半女性。前歯が前に出ていることが気になり、痛みが少なく目立ちにくい装置をご希望の患者様でした。


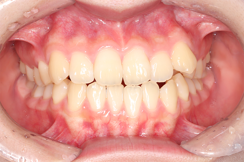
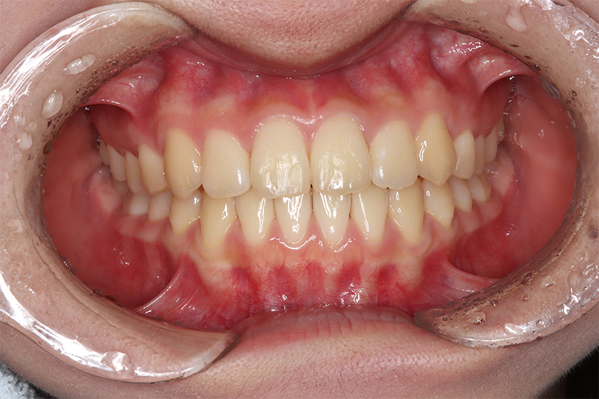
女子大学生。遠方の方の為少ない通院回数ご希望の患者様で治療期間は7か月でした。


| 精密検査 | 35,000円 (税込 38,500円) |
|---|---|
| 矯正治療費 | インビザライン(成人) 全顎矯正(コンプリヘンシブパッケージ) 800,000円(税込 880,000円) 部分矯正(ライトパッケージ) 450,000円(税込 495,000円) インビザラインファースト(小児) フェーズⅠ(Ⅰ期治療、小児矯正の時期) 500,000円(税込 550,000円) フェーズⅡ(Ⅱ期治療、永久歯に生え変わった後) 400,000円(税込 440,000円) ワイヤー矯正装置(マルチブラケット)の併用 無料 TAD(矯正用アンカースクリュー)の併用 無料 |
| 調整料 | 4,000円 (税込 4,400円) 平日割実施中:平日11時〜16時半までにご来院の方に限り調整料を1,100円(税込)引き致します。 |
| 保定装置代 | 40,000円 (税込 44,000円) |
MTM(マイナー・トゥース・ムーブメント)という治療に分類され、ワイヤー矯正治療でも昔から行われている治療法です。
アライナーの枚数は14枚までで、マウスピースの作りなおし(追加アライナー)が2回まで調整料の範囲内で行えます。治療の期間は最大で2年間となります。
精密検査を行った上で、ライトパッケージでどこまで気になる歯並びが治るかを確認し、ご満足頂ける仕上がりにならない場合は、そのまま追加料金無しで、検査内容を全体矯正(コンプリヘンシブパッケージ)に変更して頂くことも可能です。
このように昔、矯正をしていたが後戻りしてしまった、部分的に少し気になる部分があるだけで全体的な治療は希望されない患者様に合ったパッケージとなっております。少しでも気になる部分がありましたら、無料矯正相談のご予約を取って頂ければと思います。