| 費用 | 80万円(税別) |
|---|---|
| 治療期間 | 抜歯のみ3年、他はすべて約2年です。 |
| 副作用 | 治療中の顎関節症の可能性、治療中の咀嚼障害の可能性、治療中の清掃不良による虫歯発生の可能性があります。 |
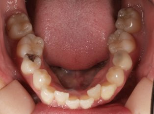
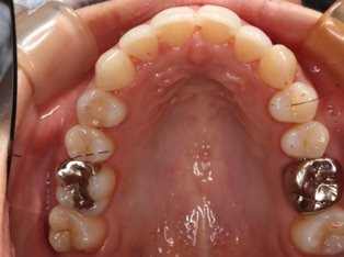
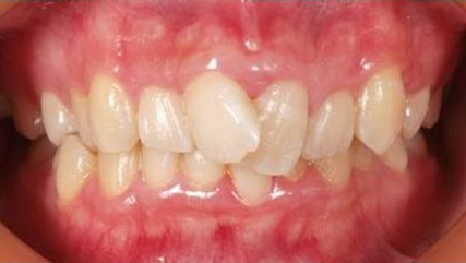
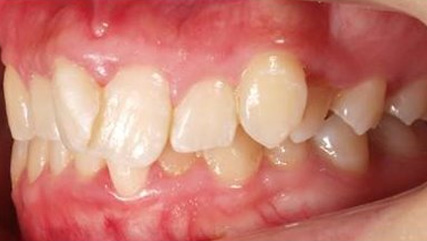
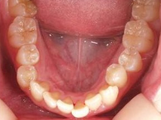
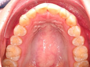
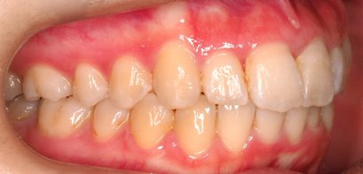
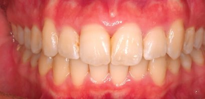
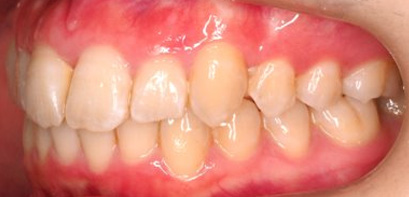
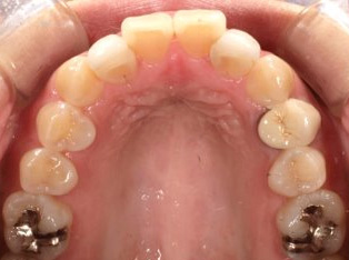
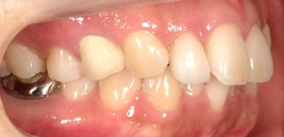
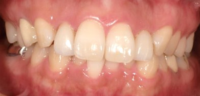
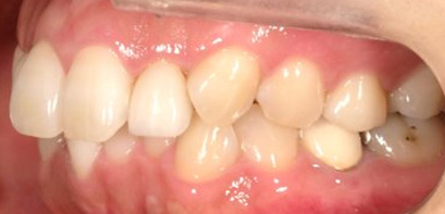
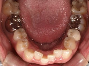
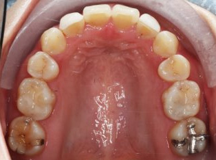
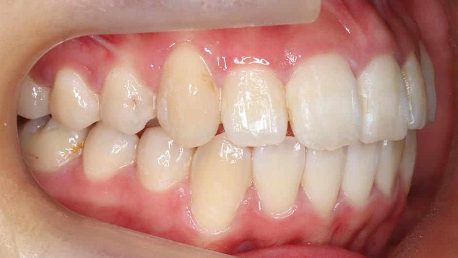
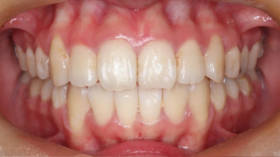
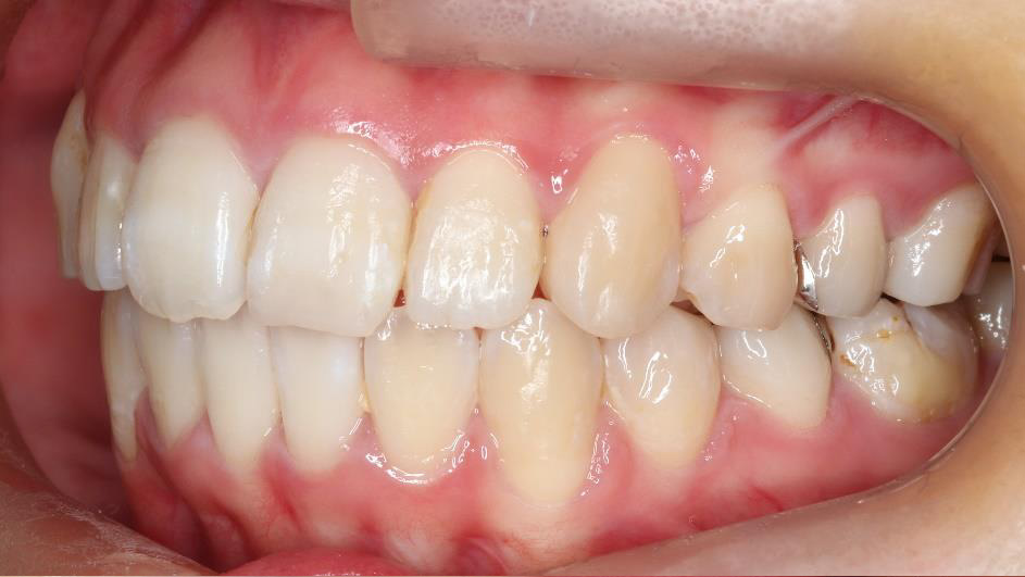
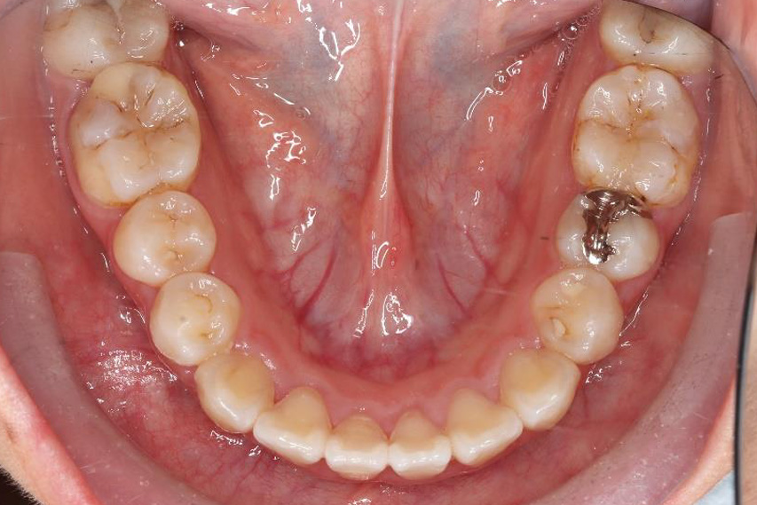
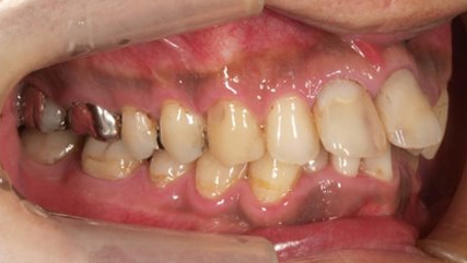
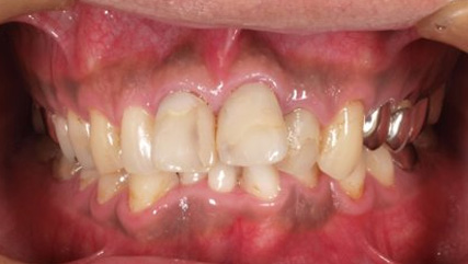
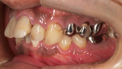
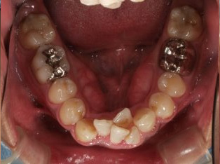
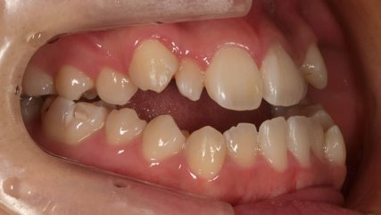
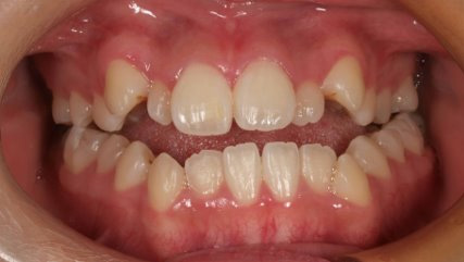
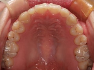
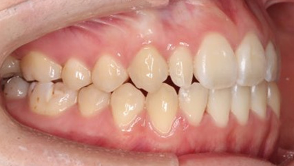
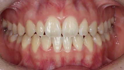
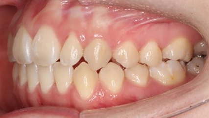
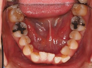
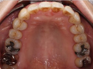
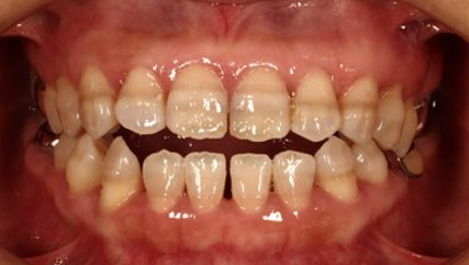
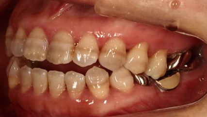
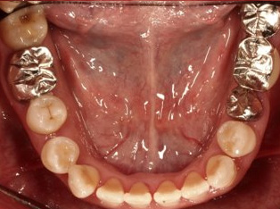
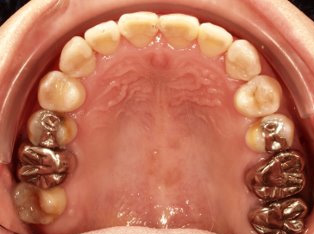
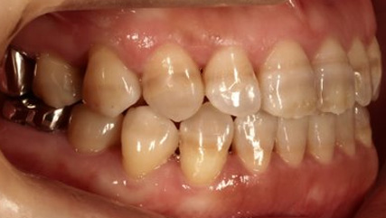
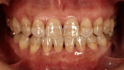
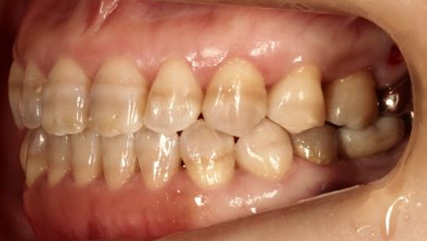
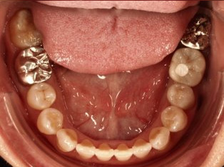
当院のインビザライン症例
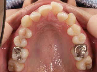
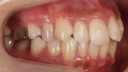
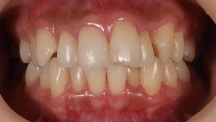
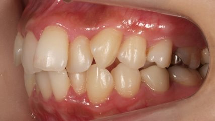
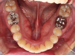
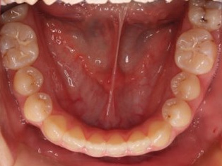
Case
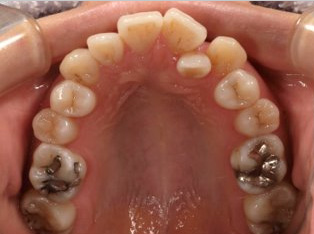
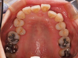
Case
| 費用 | 80万円(税別) |
|---|---|
| 治療期間 | 抜歯のみ3年、他はすべて約2年です。 |
| 副作用 | 治療中の顎関節症の可能性、治療中の咀嚼障害の可能性、治療中の清掃不良による虫歯発生の可能性があります。 |
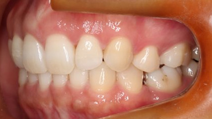
上顎前突といわれ、上顎の前歯が唇側に出ている状態を言います。
前歯が出ることで見た目の問題もありますが、口を閉じることができない、口呼吸をしてしまう、外傷などのリスクがあります。
日本人に叢生の次に多い不正咬合と言われており、自然に治ることはありません。また上の前歯が出ている事だけが気になるかもしれませんが、多くの場合、上顎の奥歯の位置に問題があることが多く、部分矯正でなく根本的な治療をした方がいい場合が殆どです。
口を閉じることができないことで、鼻呼吸でなく口呼吸をしてしまい、結果、成長期の場合顎の骨の成長を邪魔してしまうとも言われております。その他、口呼吸はアトピーなどを含むアレルギー症状の悪化、風邪を含むウイルス性の感染症にかかりやすいなどのリスクも増大してしまいます。
歯並びだけでなく全身への影響も多い為、早期の治療をおすすめ致します。
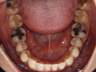
でこぼこがある状態になります。乱ぐい歯とも言われます。見た目がよくない審美障害が主な問題点ですが、その他にもでこぼこが多いことで、歯ブラシによる清掃性が悪くなり、結果、虫歯や歯周病のリスクも上がってしまいます。治療期間が短く済むことも多い為、気になった段階で早期に相談された方が良いと思います。






























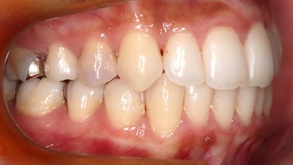
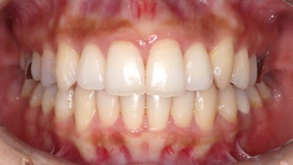
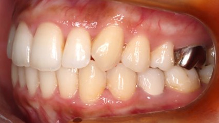
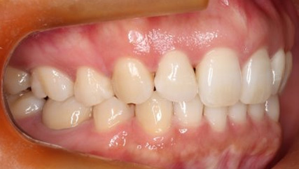
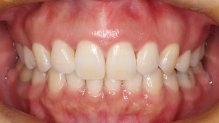
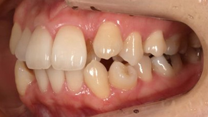
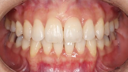
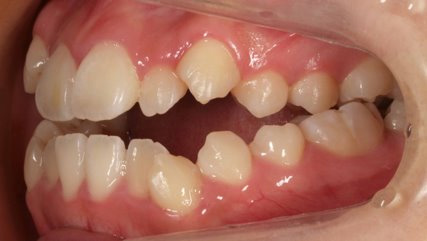
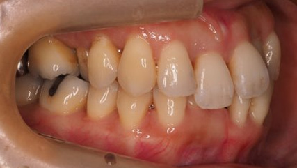
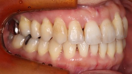
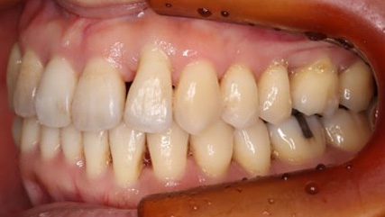
治療前
治療終了前
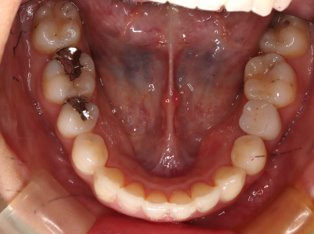
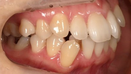
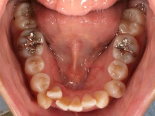
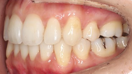
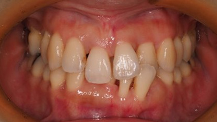
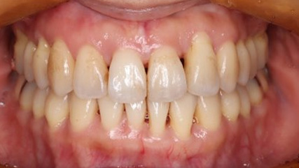
治療前
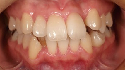
治療終了前










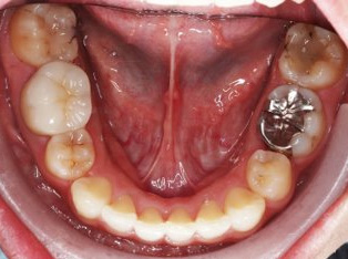
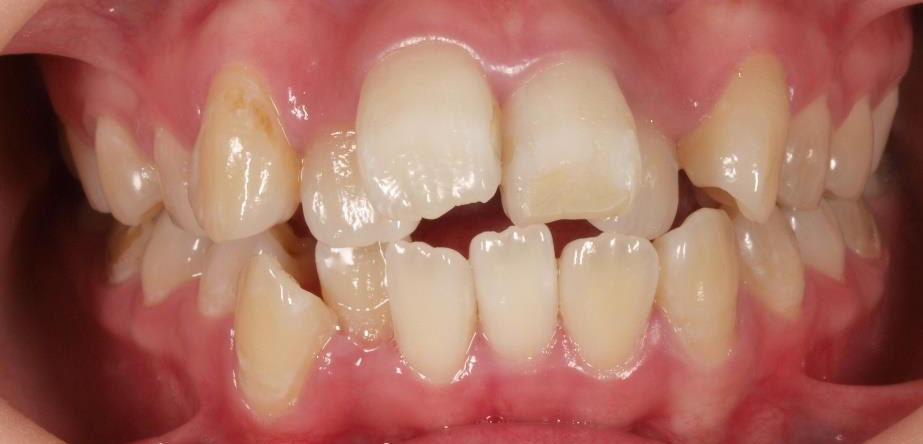
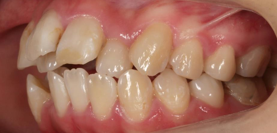
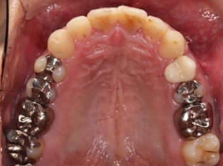
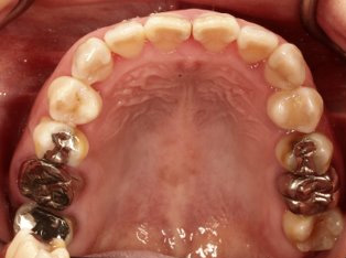
乱ぐい歯、でこぼこがとても酷い状態になります。歯が前後的に重なってしまっている、八重歯になっているなどがこのジャンルに入ります。
顎の大きさと歯の大きさのギャップが大きく、時には歯を抜かないと矯正治療ができない場合もあります。当院では治療期間が長くなるが抜かない治療方針など、一つの治療プランだけでなく、さまざまな可能性の治療方針を説明させて頂くよう心掛けております。こういった考え方はインフォームド・チョイスと言われ近年大切にされている考え方と言われております。




















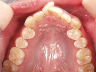
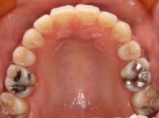
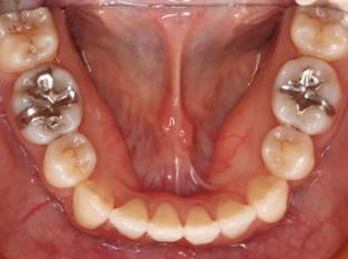
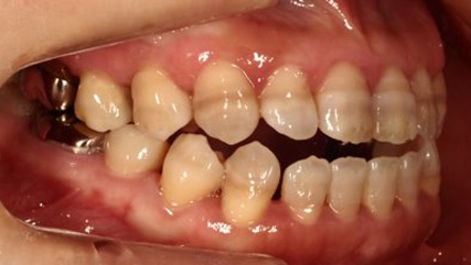
治療前
治療終了前
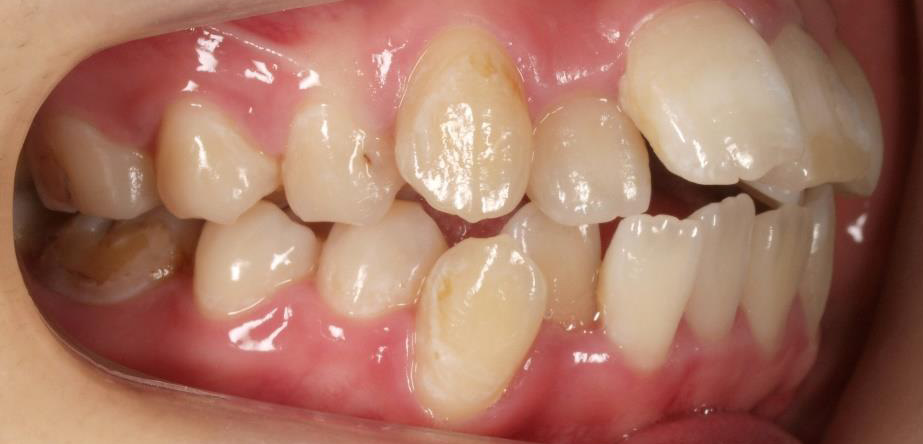
下顎が上顎より前に出ている状態です。お顔つきも、下顎の先(オトガイ)が前に出ているような横顔になる場合が多いです。前歯が咬んでいないことが多く、奥歯への負担が大きい状態になります。そのままのかみ合わせを続けてしまうと、奥歯がかけたり、割れたりするリスクが高まります。歯列矯正では奥歯の位置をコントロールし、前歯のかみ合わせを作る治療方針を立てます。ごく稀に、歯列矯正ではかみ合わせを作れない場合もあり、その場合は外科矯正という手段を用いて矯正治療をしなければいけません。受け口は、遺伝性が強いとも言われておりますので、そういった情報も考慮し、治療を進めていくことが大切です。
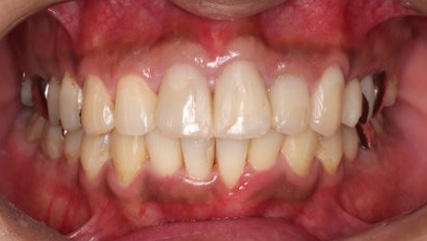
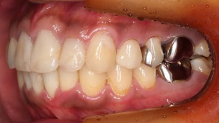
前歯が咬んでいない状態を言います。受け口同様、奥歯への負担が大きく、歯を失いやすい不正咬合と言われております。インビザラインでの治療の方が、ワイヤーを用いた治療より治療しやすい症例が多く、治療期間はワイヤー治療に比べて比較的短期間になることが多いです。出っ歯、同じように口呼吸、舌の位置が悪い、口が閉じれないなどの症状を伴うことが多いので、そういった点も考慮して治療していく必要があります。










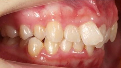
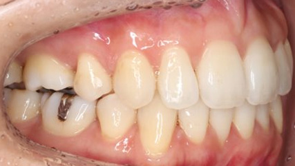
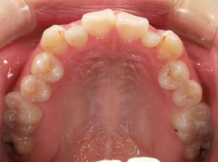
治療前
治療終了前
歯周病の予防には歯ブラシやフロスをしっかりと行う「細菌のコントロール」と、力を均等に歯に負担をかけない「力のコントロール」が重要と言われております。この力のコントロールを行うのが矯正治療です。いくら歯ブラシを頑張っても、力のコントロールが出来ていないと歯周病の予防は完璧とは言えません。不正咬合に当てはまる状態を放置するのではなく、良い歯並びを獲得し、見た目だけでなく生涯自分の歯で食事ができるよう矯正治療を受ける方も年々増加してきております。










インプラントとは歯が無くなってしまった方の治療法になります。歯がなくなってしまう一番の原因は歯周病です。歯周病により歯を失ってしまった部位に、インプラントで歯を作ったとしても、その原因が悪いかみ合わせだった場合そのインプラントにも悪い影響が出ることは明らかです。かみ合わせが原因で歯を失ってしまった場合はインプラント治療の前に矯正治療を行うことで、歯をこれ以上失うリスクを下げ、インプラントが長持ちさせることができます。インプラントだけでなく、一般歯科分野のかぶせ物や詰め物も同じことがいえます。矯正治療とは、すべての治療の基礎の部分にあたるのです。









